Связанные заболевания и их лечение
Описания заболеваний
Стандарты мед. помощи
Содержание
- Описание
- Дополнительные факты
- Классификация
- Причины
- Симптомы
- Диагностика
- Дифференциальная диагностика
- Лечение
- Прогноз
- Основные медицинские услуги
- Клиники для лечения
Названия
Название: Интерстициальная пневмония.
Интерстициальная пневмония
Описание
Интерстициальная пневмония. Прогрессирующий воспалительный процесс, затрагивающий стенки альвеол и соединительную ткань паренхимы, с возможной вторичной внутриальвеолярной экссудацией и исходом в фиброзную перестройку легочных структур. Заболевание сопровождается усиливающейся одышкой, сухим или с незначительной мокротой кашлем, болью в груди, субфебрилитетом, «теплым» цианозом, сердечно-легочной недостаточностью. Диагностика интерстициальной пневмонии включает анализ данных рентгенографии и КТ легких, дыхательных тестов, биопсии легких. При интерстициальной пневмонии применяются кортикостероиды, цитостатики, оксигенотерапия, ИВЛ.
Дополнительные факты
Интерстициальная (идиопатическая интерстициальная) пневмония – первичное острое или хроническое воспаление межуточной ткани легких неясной этиологии, характеризующееся ее фибропролиферативными изменениями и снижением дыхательной функции. Клинико-патологическая классификация выделяет идиопатические интерстициальные пневмонии как отдельную группу интерстициальных болезней легких (ИБЛ), точную распространенность которых сложно оценить из-за редкого установления правильного диагноза. Среди множества проблем пульмонологии интерстициальная пневмония занимает особое место, т. Характеризуется длительным тяжелым течением, нередко неблагоприятным исходом из-за неуклонно прогрессирующей фиброзной и склеротической трансформации легких. При интерстициальной пневмонии почти всегда отмечается снижение качества жизни и инвалидизация больных.
Интерстициальная пневмония
Классификация
Группа интерстициальных пневмоний включает в себя различные патоморфологические формы заболевания. К ним относятся:
• обычная интерстициальная пневмония (идиопатический легочный фиброз/фиброзирующий альвеолит).
• неспецифическая.
• острая (синдром Хаммена–Рича).
• десквамативная (макрофагальная).
• лимфоидная (лимфоцитарная).
• криптогенная организующаяся.
• респираторный бронхиолит, ассоциированный с ИБЛ.
Поражение при интерстициальной пневмонии может быть очаговым или диффузным, а по объему может охватывать целую долю или все легкое.
Все варианты интерстициальной пневмонии имеют некоторые патогенетические, морфологические и клинические отличия, особенности течения и прогноза. Для идиопатического легочного фиброза (ИЛФ) типичны нарушение архитектоники легких гетерогенного характера, рубцевание интерстициальной ткани, «сотовая» трансформация легких с множеством тонкостенных полостей без содержимого и инфильтрации, фокусы фибробластов. Неспецифическая интерстициальная пневмония (НСИП) имеет картину однородных воспалительных изменений интерстиция и фиброза с редким возникновением фибробластических фокусов. При острой интерстициальной пневмонии (ОИП) наблюдаются резкий отек альвеолярных стенок, образование внутри альвеол экссудата и гиалиновых мембран, частое развитие интерстициального фиброза.
Криптогенная организующаяся пневмония (КОП), или облитерирующий бронхиолит с организующейся пневмонией протекает с сохранением легочной архитектоники, организованным внутриальвеолярным экссудатом и диффузными полипообразными грануляциями в бронхиолах. При десквамативной форме (ДИП) возникает незначительное равномерное воспаление интерстиция легочной паренхимы со скоплением альвеолярных макрофагов в выстилке альвеол. Лимфоидная интестициальная пневмония (ЛИП) проявляется сочетанием гомогенной выраженной лимфоцитарной инфильтрации интерстиция и перибронхиальных лимфоидных фолликулов. Для респираторного бронхиолита типична бронхоцентричная миграция альвеолярных макрофагов при минимальных признаках воспаления и фиброза альвеол и интерстиция.
Наиболее часто встречаются идиопатический легочный фиброз и неспецифическая форма интерстициальной пневмонии. ИЛФ более характерен для пожилых мужчин (средний возраст 65 лет), прочие формы ИИП чаще выявляются у пациенток женского пола (35-55 лет), а неспецифическая и десквамативная иногда возникают у детей.
Причины
Этиология идиопатической интерстициальной пневмонии до конца не изучена. К заболеванию может быть причастно нарушение иммунологического гомеостаза, а пусковым фактором выступает некий антиген, к которому организм начинает вырабатывать антитела.
Развитие данной патологии могут провоцировать инфекционные агенты (микоплазмы, хламидии, пневмоцисты, легионеллы, риккетсии, респираторные вирусы, CMV, вирус герпеса) и определенные виды пыли. Склонны к интерстициальной пневмонии курящие или ранее курившие лица, ВИЧ-инфицированные и больные СПИДом (преимущественно дети). Лимфоидная форма может сочетаться с аутоиммунными заболеваниями (синдромом Шегрена), иммунопатиями (гипо- и гипергаммаглобулинемиями). Курение – одна из главных причин десквамативной пневмонии и респираторного бронхиолита. Криптогенная организующаяся пневмония имеет обычно идиопатический характер, но возможна связь с коллагенозами или медикаментозной терапией амиодароном, препаратами золота.
Воспаление при интерстициальной пневмонии протекает по типу пневмонита (альвеолита), носит чаще всего иммунный неинфекционный характер, затрагивая, главным образом, альвеолярные стенки и внеальвеолярную соединительную ткань легких, иногда с вторичной организацией экссудата внутри альвеол. Для интерстициальной пневмонии характерно первичное воспаление интерстициальной ткани с накоплением в ней иммунокомпетентных клеток, выделяющих различные повреждающие медиаторы (оксиданты, интерлейкин-1 и тд ) на ранней стадии и фиброгенные факторы, вызывающие развитие фибропролиферативных реакций, на поздней стадии.
Симптомы
Хроническое течение (более 12 месяцев) свойственно ИЛФ и ЛИП; подострое/хроническое – НСИП; подострое (месяцы и годы) – ДИП и РБ; острое/подострое – КОП; внезапное – ОИП. Клинические формы интерстициальной пневмонии сопровождаются малопродуктивным (сухим или с незначительной мокротой) кашлем, затруднением дыхания (ощущением «неполного вдоха») и нарастающей одышкой, сначала выраженной при нагрузках, затем в покое. Возникают боли в груди, эпизоды внезапной нехватки воздуха по ночам. Одышка ограничивает активность пациента, сопровождается быстрой утомляемостью, плохим сном, иногда потерей веса.
Симптомы бронхиальной обструкции при ИЛФ наблюдаются только у 4 % больных, значительно чаще они отмечаются при десквамативной форме. У больных может обнаруживаться «теплый» цианоз кожных покровов, который постепенно охватывает все тело. При КОП, НСИП, ЛИП возможна лихорадка. Проявления криптогенной формы часто напоминают симптомы бактериальной пневмонии. Для ИЛФ, неспецифической, десквамативной и лимфоцитарной интерстициальных пневмоний типичны «пальцы Гиппократа».
ИЛФ имеет незаметное начало с медленным нарастанием одышки и кашля, общей слабости, болей в мышцах и суставах, отсутствием лихорадки и кровохарканья. Прогрессирование этой формы сопровождается похуданием (вплоть до кахексии), развитием дыхательных нарушений, первичной легочной гипертензии. Тяжелая дыхательная недостаточность с проявлениями легочного сердца при ИЛФ может сформироваться за период от 2-х месяцев до 2-х лет.
Симптомы острой интерстициальной пневмонии (синдрома Хаммена–Рича) схожи с клиникой гриппа и острого респираторного дистресс-синдрома. Наблюдается молниеносное течение с быстро прогрессирующей дыхательной недостаточностью и высоким процентом летальных исходов.
Боль в груди слева. Боль в груди справа. Боль в грудной клетке. Высокая температура тела. Изменение аппетита. Кашель. Кровохарканье. Ломота в теле. Мокрота. Нехватка воздуха. Ночная потливость у мужчин. Одышка. Першение в горле. Субфебрильная температура.
Читайте также: Резаная рана груди код мкб 10
Диагностика
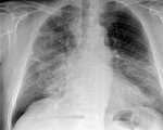
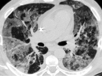
Диагностика интерстициальной пневмонии затруднена, основана на результатах анамнеза, физикального осмотра, рентгенографии и КТВР легких, исследования ФВД (спирометрии, бодиплетизмографии); торакоскопической или открытой биопсии легких.
При интерстициальной пневмонии выявляется мягкая крепитация: на ранней стадии, в основном, в прикорневых сегментах легких, на поздней — по всем легочным полям и в верхушках легких. Для ИЛФ типична инспираторная крепитация по типу «треска целлофана». Отмечаются жесткое дыхание, влажные или сухие мелкопузырчатые хрипы в легких. При перкуссии имеется небольшое укорочение звука, соответствующее области поражения.
Функциональные дыхательные тесты выявляют нарушение вентиляции и расстройства диффузионной способности легких (при ИЛФ — рестриктивного типа с резким и крайне резким снижением легочных объемов). Рентгенологическими признаками интерстициальной пневмонии могут являться симметричные полупрозрачные затемнения по типу «матового стекла», в основном в нижних отделах легких; утолщение междолькового и внутридолькового интерстиция; кистозно-фиброзные изменения, периваскулярная и перибронхиальная инфильтрация и тракционные бронхоэктазы.
КТВР помогает уточнить распространенность поражения легочной ткани, оценить стадию, активность и темпы прогрессирования фиброзного процесса. Важным этапом диагностики интерстициальной пневмонии является биопсия легкого с гистологическим анализом биоптатов легочной ткани. ЭхоКГ-симптомы нарушения гемодинамики в малом круге кровообращения отмечаются только при достаточно высоких показателях площади фиброзных изменений в легких.
Дифференциальная диагностика
Дифференциальная диагностика интерстициальной пневмонии проводится с бактериальной пневмонией, туберкулезом, другими ИБЛ. Лечебно-диагностические мероприятия при интерстициальной пневмонии подразумевают взаимодействие пульмонолога, торакального хирурга, врача-рентгенолога, патоморфолога.
Лечение
Ранняя диагностика интерстициальной пневмонии положительно влияет на эффективность лечения и прогноз. В случае острой формы интерстициальной пневмонии поддержание дыхательной функции осуществляется с помощью оксигенотерапии и искусственной вентиляции легких. Лечение других форм базируется на применении глюкокортикостероидов (ГКС) и цитостатиков, способных оказывать выраженное противовоспалительное и иммуносупрессивное действие.
При НСИП, КОП, РБ-ИБЛ, ДИП и ЛИП показаны высокие или средние дозы преднизолона длительным курсом, при необходимости добавление цитостатических препаратов. Отказ от курения — обязательное условие разрешения десквамативной интерстициальной пневмонии и респираторного бронхиолита, ассоциированного с ИБЛ. При ИЛФ используют ГКС-монотерапию и более предпочтительные комбинации с азатиоприном или циклофосфамидом на протяжении как минимум 6 мес. С тщательным мониторингом состояния больного.
В качестве дополнительных применяются антифиброзные препараты (D-пеницилламин, колхицин, интерферон γ-1b). При развитии гипоксемии рекомендована кислородотерапия, при легочной гипертензии – вазодилататоры. Эффективно применение препаратов, влияющих на функциональную активность эндотелия — простагландинов, антиагрегантов, ингибиторов эндотелина-1, антиоксидантов. При формировании «сотового легкого» единственным методом лечения интерстициальной пневмонии является трансплантация легких.
Прогноз
Исход интерстициальной пневмонии зависит от формы заболевания и выраженности фиброза легких. Выживаемость больных в среднем составляет 5-6 лет, при ИЛФ с развитием пневмосклероза и сердечно-легочной недостаточности продолжительность жизни не превышает 3 лет. Острая интерстициальная пневмония даже при своевременном лечении имеет очень высокие показатели смертности — до 50-70%.
Клиническое улучшение и стабилизация состояния пациента в результате лечения неспецифической интерстициальной пневмонии наступает примерно в 75% случаев; около 35% больных имеют 10-летнюю выживаемость. При десквамативной форме улучшение/стабилизация наблюдаются в 2/3 случаев, а 5- и 10-летняя выживаемость достигает 93 и 69%, возможна полная ремиссия. Большинство случаев лимфоцитарной интерстициальной и криптогенной организующейся пневмонии имеют благоприятный прогноз. РБ-ИБЛ часто разрешается при прекращении курения, в некоторых случаях имеет место упорное прогрессирование с рецидивами. Больным ИЛФ регулярно проводится вакцинация против гриппа и пневмококковой инфекции.
Читайте также: Частая желудочковая экстрасистолия код по мкб 10 у взрослых
Основные медуслуги по стандартам лечения |
|||||||||||||||||||||||||||||||||||||||||||||||||||||||||||||||||||
Клиники для лечения с лучшими ценами
|
|||||||||||||||||||||||||||||||||||||||||||||||||||||||||||||||||||
Связанные заболевания и их лечение
Описания заболеваний
Стандарты мед. помощи
Содержание
- Описание
- Причины
- Симптомы
- Диагностика
- Лечение
- Основные медицинские услуги
- Клиники для лечения
Названия
Интерстициальные заболевания легких.
Интерстициальные заболевания легких
Описание
Интерстициальные заболевания легких – это общее название целой группы болезней легких. Объединяет заболевания этой категории то, что все они влияют на интерстиций, часть анатомического строения легких.
Интерстиций, или интерстициальная ткань – это соединительная ткань легких. Интерстиций обеспечивает поддержку альвеолам, микроскопическим воздушным мешочкам легких. Крошечные кровеносные сосуды проходят через интерстиций и выполняют функцию газообмена между кровью и воздухом в легких. Ткань интерстиция настолько тонкая, что она, как правило, не вида на рентгене грудной клетки или при компьютерной томографии, хотя заболевание интерстиция может быть обнаружено при этих исследованиях.
Любые поражения легочной ткани вызывают утолщение интерстиция. Утолщение может возникать в результате воспаления, образования рубцов или скопления дополнительной жидкости (отека). Некоторые формы поражения легочной ткани вскоре проходят, другие же являются хроническими и неизлечимым.
Причины
Причины поражения легочной ткани могут быть различными. Так, интерстициальную пневмонию могут вызвать бактерии, вирусы или грибок. Другие интерстициальные болезни могут быть связаны с регулярным вдыханием раздражающих веществ – асбеста, кварцевой пыли, талька, угольной и металлической пыли, зерновой пыли. В редких случаях заболевания легких этой группы могут развиваться из-за воздействия некоторых наркотических веществ.
Особенность интерстициальны заболеваний легких в том, что вышеперечисленные факторы, на самом деле, вызывают лишь некоторые из болезней. В большинстве случаев точная причина заболевания легких так и остается неизвестной.
Симптомы
Наиболее распространенным симптомом всех форм болезни является одышка, которая может усиливаться с течением времени. При большинстве заболеваний одышка развивается довольно медленно, примерно в течением месяца. В случае с интерстициальной пневмонией или острой интерстициальной пневмонией симптомы могут развиться очень быстро, буквально за несколько дней или даже часов.
Другими симптомами болезни могут быть:
Кашель, как правило, сухой и непродуктивный;
Потеря веса;
Затрудненное дыхание.
Примерами интерстициальных заболеваний легких может быть:Интерстициальная пневмония, возникающая из-за воздействия бактерий, вирусов или грибка.
Идиопатический легочный фиброз. Это хроническое заболевание, при котором происходит фиброз (рубцевание) интерстиция. Причины идиопатического легочного фиброза до сих пор точно не известны.
Неспецифическая интерстициальная пневмония – интерстициальная болезнь легких, которая часто связана с аутоимунными заболеваниями, такими как ревматоидный артрит или склеродермия.
Аллергическая пневмония – интерстициальное заболевание легких, вызванное вдыханием пыли, плесени или других раздражителей.
Криптогенная организующаяся пневмония – схожее с пневмонией интерстициальное заболевание легких, но без настоящей инфекции.
Острая интерстициальная пневмония, тяжелое и внезапное интерстициальное заболевание легких, часто требующее применения аппаратов жизнеобеспечения.
Десквамативная интерстициальная пневмония – заболевание легких, частично вызываемое курением.
Саркоидоз – состояние, вызывающее интерстициальную болезнь легких наряду с увеличением лимфатических узлов, а иногда и сопровождающееся поражением сердца, кожных покровов, нервов, органов зрения.
Асбестоз – заболевание, вызванное воздействием на легкие асбеста.
Фиброзирующий альвеолит.
Синдром Хаммана-Рича и другие заболевания.
Боль в грудной клетке. Кашель. Лейкоцитоз. Недомогание. Одышка.
Читайте также: Постинфекционный астенический синдром код по мкб
Диагностика
Обычно люди с интерстициальными болезнями легких приходят на консультацию к пульмонологу с жалобами на одышку или кашель. Для постановки диагноза врач, как правило, использует специальные методы исследования легких:Рентген грудной клетки. Это исследование обычно проводится в первую очередь для оценки общего состояния легких. Поражения интерстиция могут отобразиться на снимках в виде тонких линий в легких.
Компьютерная томография (КТ). Томография позволяет создать детальное изображение легких и прилегающих к ним структур. Интерстициальные заболевания легких, как правило, виды при КТ.
КТ с высоким разрешением. Особые настройки томографа при подозрении на заболевание интерстиция увеличивают эффективность диагностики.
Оценка функции внешнего дыхания при помощи специальных тестов легких, в том числе бодиплетизмографии, спирометрии и некоторых других.
Биопсия легкого и изучение полученных образцов под микроскопом. Часто это единственный способ определения, какой тип поражения легочной ткани имеется у пациента. Образцы ткани при биопсии могут быть взяты при помощи бронхоскопии, видеоассистированной торакоскопической хирургии, открытой биопсии легкого (торактомии).
Лечение
Схема лечения интерстициальных заболеваний легких подбирается врачом-пульмонологом в зависимости от типа поражения легочной ткани и ее причин. В целом же лечение может проводиться при помощи антибиотиков (они особенно эффективны для большинства видов бактериальной интерстициальной пневмонии). Вирусная пневмония обычно проходит самостоятельно и антибиотиками не лечится. Грибковая пневмония, которая случается крайне редко, лечится специальными антигрибковыми препаратами.
Еще один вид лекарств – это кортикостероиды, которые уменьшают воспалительный процесс в легких и других частях тела. Другие препараты могут, к примеру, замедлить поражение легких и процесс ухудшения их функции или подавлять иммунную систему в целях уменьшения воспалительного процесса как ответной реакции организма на заболевание.
У людей с низким содержанием кислорода в крови, возникшим вследствие интерстициального заболевания легких, вдыхание кислорода через специальные аппараты может улучшить состояние здоровья, а также восполнить потребность сердца в кислороде.
В некоторых случаях, при тяжелой форме заболевания легких, пересадка легкого может быть самым эффективным методом борьбы с болезнью.
Основные медуслуги по стандартам лечения |
|||||||||||||||||||||||||||||||||||||||||||||||||||||||||||||||||||
Клиники для лечения с лучшими ценами
|
|||||||||||||||||||||||||||||||||||||||||||||||||||||||||||||||||||


